EN
AR

Flow Viewer enhances color flow Doppler and aids in diagnosis of a fetal renal abnormality

By Dr. Michael Ruma, MD, MPH ∙ Jun 30, 2023 ∙ 2 min read

Ultrasound

Women's and maternal health

Clinical article

Advancements in prenatal diagnostic ultrasound over the past several decades allow for the diagnosis of numerous minor and major fetal anomalies. 2D ultrasound is routinely the initial modality utilized in the evaluation and prenatal diagnosis of fetal anomalies. However, color flow Doppler ultrasound now plays a large role in the evaluation of many fetal abnormalities and may help with counseling a patient and with the patient’s understanding of the evaluation. 

At-a-glance

  • Ultrasound technological advancements augment the way sonographers and clinicians evaluate and diagnose fetal renal abnormalities
  • Flow Viewer for color flow Doppler ultrasound has remarkable potential to change the healthcare of the pregnant patient and for prenatal diagnosis and management of the fetus
  • Flow Viewer demonstrates the impressive capabilities of ultrasound through high-quality flow imaging, clearly defined fetal vasculature and cardiac anatomy and enhanced 3D-like realistic imaging

Pregnant woman getting ultrasound

While a variety of renal abnormalities are commonly noted on 2D ultrasound, the prenatal diagnosis of malformations remains challenging. Differentiating the wide variety of diagnoses present in the fetal kidneys is incredibly important for the clinician involved with counseling the parents, as different anomalies portend a broadly ranging prognosis and outcome.1

A clinical example: assessing fetal renal anatomy

A 20-year-old gravida 1 para 0 pregnant patient at 18 4/7 weeks gestation presented to Perinatal Associates of New Mexico (PANM) for an initial obstetric ultrasound screening evaluation. An obstetric ultrasound was conducted at PANM utilizing a Philips EPIQ Elite ultrasound system with both the Philips C5-1 PureWave curvilinear transducer and the Philips V9-2 PureWave volume transducer.

The ultrasound evaluation demonstrated a breech female fetus with a normal estimated fetal weight. The fetal anatomic survey identified anhydramnios and bilateral multicystic dysplastic kidneys (Figures 1 and 2). Microflow Imaging High Definition (MFI-HD) was used to obtain color flow imaging only of the left renal artery (Figure 3).

Figures 1 C5-1 transducer coronal and transverse image of the left and right multicystic renal abnormality
C5-1 transducer coronal and transverse image of the right multicystic renal abnormality

Figure 1 C5-1 transducer coronal and transverse image of the left multicystic renal abnormality
Figure 2 C5-1 transducer coronal and transverse image of the right multicystic renal abnormality

Figure 3 C5-1 transducer sagittal image of the left renal artery using MFI-HD

Figure 3 C5-1 transducer sagittal image of the left renal artery using MFI-HD

The patient was enrolled in a clinical evaluation study of Philips Flow Viewer, which was ongoing at the time of her consultation at our practice. Utilizing the C5-1 and V9-2 transducers on the EPIQ Elite ultrasound system, additional imaging was performed with particular focus on the fetal renal anatomy. Color flow imaging with Flow Viewer, designed to enhance traditional color with sharp delineation of vascular flow margins and 3D-like rendering of color flow imaging, was utilized to assess the fetal renal anatomy.

The patient returned for a follow-up visit at 35 5/7 weeks. An obstetric ultrasound was performed on an EPIQ Elite ultrasound system with both the C5-1 and V9-2 transducers. Follow-up ultrasound evaluation demonstrated a vertex fetus with fetal growth restriction. Reevaluation of the fetal anatomy again demonstrated anhydramnios, however the previously visualized multicystic dysplastic kidneys could not be identified on 2D imaging, raising suspicion of bilateral renal agenesis.

Traditional color flow imaging was suboptimal, however supported no evidence of renal arteries (Figure 4). Using Flow Viewer, the fetal aorta was more easily identified and clearly demonstrated bilateral absence of the renal arteries (Figure 5). The patient was informed of the findings of bilateral renal agenesis, which included a discussion regarding the lack of specific treatment outside of research protocols and the poor prognosis.

C5-1 transducer coronal image of the fetal aorta and absence of renal arteries using traditional color Doppler
V9-2 transducer coronal image of the fetal aorta and absence of bilateral renal arteries using color Doppler with Flow Viewer

Figure 4 C5-1 transducer coronal image of the fetal aorta and absence of renal arteries using traditional color Doppler
Figure 5 V9-2 transducer coronal image of the fetal aorta and absence of bilateral renal arteries using color Doppler with Flow Viewer

How the diagnosis was made

The utility of ultrasound remains impressive as an initial, low-cost imaging modality, and demonstrates its important role in the prenatal diagnosis of fetal anomalies. Over the years, notable advancements in ultrasound technology continue to augment the way sonographers and clinicians evaluate and diagnose numerous fetal abnormalities.

With state-of-the-art transducer technology such as the V9-2 transducer and timely updates to software on the EPIQ Elite system, clinicians at PANM continue to grow in their clinical confidence, applying the new Flow Viewer color Doppler technology to a range of fetal diagnoses.

In this patient’s case, the fetal diagnosis was not fully conclusive with the use of 2D imaging and traditional color flow imaging on the C5-1 transducer. Our diagnosis of bilateral renal agenesis, which progressed from an initial finding of bilateral multicystic dysplastic kidneys, was aided using Flow Viewer. This color Doppler imaging modality allowed for superior imaging of the fetal aorta and the ability to definitively demonstrate complete and bilateral absence of the fetal renal arteries. In this case, the fetal diagnosis was made with greater accuracy using Flow Viewer advanced color Doppler ultrasound technology, which provided the clinician and the patient a greater degree of confidence in the true diagnosis of bilateral renal agenesis in the fetus.

Summary

The latest Philips update to color flow Doppler is the innovative imaging modality Flow Viewer. Flow Viewer is a significant improvement over traditional color Doppler ultrasonography alone (Figures 6, 7 8). In both routine obstetric and complex perinatal care, the availability of Flow Viewer for color flow Doppler ultrasound has remarkable potential to change the healthcare of the pregnant patient and for prenatal diagnosis and management of the fetus. Flow Viewer continues to demonstrate the impressive capabilities of ultrasound through high-quality flow imaging, clearly defined fetal vasculature and cardiac anatomy as well as an enhanced 3D-like realistic image.

V9-2 transducer coronal image of the fetal aorta and normal bilateral renal arteries using color Doppler with Flow Viewer
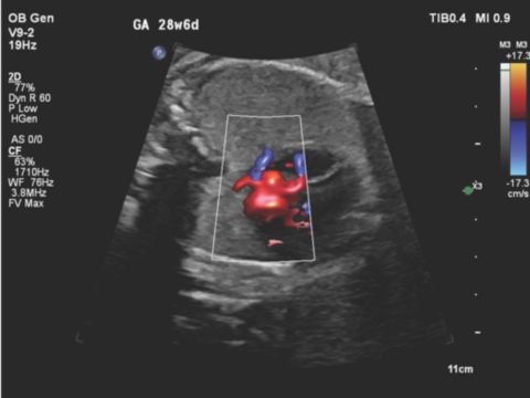
V9-2 transducer transverse image of the fetal heart and pulmonary veins using color Doppler with Flow Viewer
V9-2 transducer image of the placental cord insertion using color Doppler with Flow Viewer

Figure 6 V9-2 transducer coronal image of the fetal aorta and normal bilateral renal arteries using color Doppler with Flow Viewer
Figure 7 V9-2 transducer transverse image of the fetal heart and pulmonary veins using color Doppler with Flow Viewer
Figure 8 V9-2 transducer image of the placental cord insertion using color Doppler with Flow Viewer

Dr. Michael Ruma

Michael S. Ruma, MD, MPH

Maternal-Fetal Medicine
Perinatal Associates of New Mexico
Albuquerque, New Mexico, USA

Clinical article

Flow Viewer enhances color flow Doppler and aids in the diagnosis of a fetal renal abnormality

We are always interested in engaging with you.

Let us know how we can help.

1
Select your area of interest
2
Contact details

Footnotes
 

[1] Bienstock J, Birsner M, Coleman F, Hueppchen N. Successful in utero intervention for bilateral renal agenesis. Obstet Gynecol. 2014;124:413-5. DOI: 10.1097/AOG.0000000000000339

Results from case studies are not predictive of results in other cases. Results in other cases may vary.

You are about to visit a Philips global content page

Continue

You are about to visit a Philips global content page

Continue

Our site can best be viewed with the latest version of Microsoft Edge, Google Chrome or Firefox.